PUBLICIDAD

¿Quieres recibir notificaciones de alertas?

Su sesión ha expirado

Iniciar sesión
19°
9 de Marzo,  Salta, Centro, Argentina
PUBLICIDAD

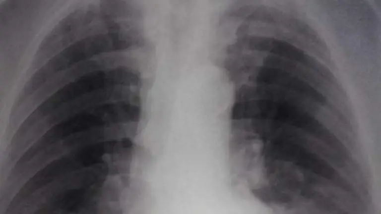
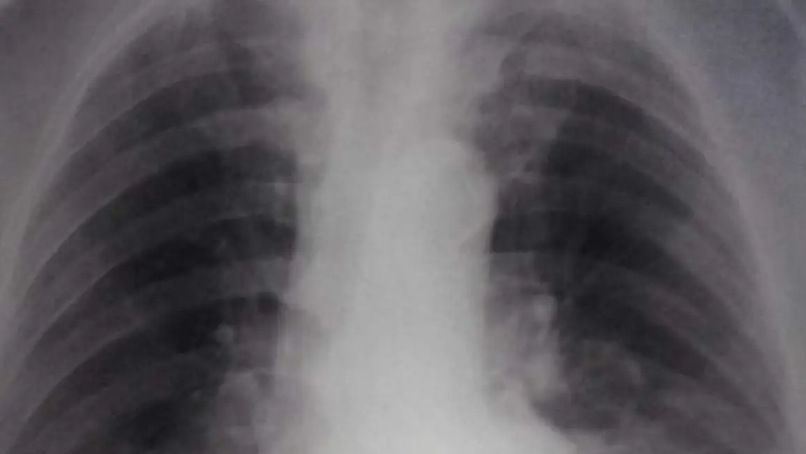
En Salta se registraron 89 nuevos casos de neumonía en una semana, alcanzando un total de casi 9.000 en lo que va del año

En la última semana, Salta notificó 89 nuevos casos de neumonía, alcanzando un total de 8.900 infecciones en lo que va de 2025. La situación sigue siendo una preocupación para las autoridades sanitarias, quienes también reportaron otras patologías respiratorias y zoonóticas.
Viernes, 12 de diciembre de 2025 17:53

Escuchar esta nota - 00:00

Alcanzaste el límite de notas gratuitas
inicia sesión o regístrate.
Alcanzaste el límite de notas gratuitas
Nota exclusiva debe suscribirse para poder verla

El informe oficial del Ministerio de Salud Pública de Salta destacó que en la última semana epidemiológica, comprendida entre el 23 y el 29 de noviembre, se registraron 89 nuevos casos de neumonía, lo que eleva el total acumulado a 8.900 casos en lo que va de 2025. Esta cifra mantiene la enfermedad como un tema relevante en la agenda de salud pública en la provincia.

La neumonía es una infección que afecta a los pulmones, específicamente a los alvéolos, que se llenan de pus y líquido, lo que hace dolorosa la respiración y limita la absorción de oxígeno.

Puede ser provocada por virus y bacterias contagiosas, que suelen encontrarse en los fluidos y secreciones de la boca y de la nariz de una persona infectada, por lo que se contagia al toser o estornudar. También se debe evitar compartir vasos, cubiertos y objetos de uso personal.

Otras enfermedades respiratorias

Además de la neumonía, la provincia ha reportado un incremento en otras enfermedades respiratorias. Las enfermedades tipo influenza sumaron 245 nuevos casos en la última semana, alcanzando un total de 23.600 casos en lo que va del año. También se notificaron 159 casos de bronquiolitis, que acumulan 10.223 desde el inicio de 2025.

El panorama respiratorio también incluye el COVID-19, aunque en menor escala, con tres nuevos casos reportados en la última semana, acumulando 327 casos en total desde que comenzó la pandemia. Las autoridades sanitarias han destacado que, a pesar de estos aumentos, no se han reportado nuevas muertes por enfermedades respiratorias en la última semana.

Hospitalizaciones y situación crítica

La jefa de Sala de Situación, Rocío Corrales, informó que, a pesar del aumento de casos de neumonía y otras infecciones respiratorias, 39 pacientes fueron hospitalizados durante la última semana. Afortunadamente, no se registraron nuevos decesos a causa de enfermedades respiratorias, lo que mantiene el número de muertes en 10 desde el inicio del año.

Brotes de enfermedades dermatológicas y zoonóticas

A la par de las enfermedades respiratorias, Salta ha registrado otros brotes de enfermedades dermatológicas. Se notificaron 491 casos de varicela, con 7 nuevos casos en la última semana. Además, un caso de lepra se registró en el departamento Orán, elevando el total anual a 4.

En el ámbito de las enfermedades zoonóticas, se reportaron 19 nuevos casos de picaduras de alacrán y 27 mordeduras de perro, elevando el total de mordeduras a 883 casos en lo que va del año. Estas enfermedades siguen siendo un foco de atención debido a los riesgos asociados, como el potencial de rabia en las mordeduras de perro.

Hepatitis Virales

No se registraron casos en la SE 48. El acumulado anual es de 16 positivos, 13 diagnosticados por laboratorio y 3 por criterio clínico epidemiológico.

De ellos, se han notificado 7 en el departamento Rivadavia, 5 en San Martín, 3 en Capital y 1 en Rosario de la Frontera.

Actualmente hay 5 en estudio y 39 fueron descartados.

Viruela Símica

No se registraron nuevos casos. El acumulado es de 2 positivos en lo que va del año

Enfermedades inmunoprevenibles

·         No se han notificado casos de coqueluche. Acumulado 2.

·         Se registraron siete casos de varicela. El acumulado anual es de 491.

·         Se han confirmado tres casos de meningoencefalitis. El acumulado en lo que va del año es de 129 casos.

·         No se han notificado casos de parotiditis, con lo que el acumulado anual es de 33 casos.

·         No hubo casos de sarampión.

·         No se han registrado casos de Enfermedad Febril Exantemática.

·         No se ha confirmado ningún caso de difteria ni de poliomielitis.

Enfermedades Transmitidas por Alimentos (ETA)

·         Salmonelosis: No se han notificado casos de esta enfermedad causada por bacterias del género salmonella en la última semana. El acumulado del año es de 36.

·         Botulismo del lactante: No se notificaron casos en la última SE. Acumulado 5 casos.

·         Botulismo: No se registraron casos en la última SE. Acumulado: 1 caso.

·         Síndrome Urémico Hemolítico: No se registraron nuevos casos en la última SE. Acumulado: 1 caso.

·         Diarrea aguda: se registraron 1157 casos en la SE 48. El acumulado de casos es de 61.208

Situación de las enfermedades zoonóticas

También se notificaron algunas  enfermedades zoonóticas, es decir que se transmiten  de animales a humanos.

·         No hubo casos de araneismo. Acumulado: 14 casos

·         Se han notificado 19 casos de picaduras de alacranes. El acumulado, en lo que va del año, es de 548 casos.

·         Se han notificado 27 casos de mordeduras de perro, lo que se considera accidente potencialmente rábico (APR), 17 en Capital, 6 en San Martín y 4 en Orán. El acumulado, en lo que va del año en APR es de 883 casos.

·         No hubo casos de ofidismo en la última SE. Acumulado: 70 casos

·         No se registraron casos de brucelosis. Acumulado: 6 casos

·         No se registraron casos de leishmaniasis visceral canina. Acumulado: 115 casos

·         No se notificaron casos de hidatidosis. El acumulado en 2025 es de 41 casos.

·         Se notificaron 3 casos de hantavirus, dos en el departamento Orán y un en Rosario de Lerma. Acumulado: 11 casos

·         No hubo casos de psitacosis. Acumulado: 1 caso

·         No hubo casos de leptospirosis.

·         No hubo casos de rabia animal. Acumulado: 4 casos

Estado del dengue en la provincia

A pesar de que no se han confirmado casos nuevos de dengue, Salta continúa monitoreando posibles brotes. Actualmente, hay 224 sospechosos con síntomas compatibles, de los cuales el 80% reside en cuatro departamentos:  Orán reúne al 24,6%, Capital al 23,2%, San Martín al 21,4% y Anta al 11,2%.

Tampoco se han registrado casos positivos de otras arbovirosis, como chikungunya, zika ni fiebre amarilla en la provincia.

A la fecha se registran cuatro sospechosos para chikungunya y tres ya fueron descartados. Además, dos sospechosos para zika y tres descartados por laboratorio.

 

PUBLICIDAD
PUBLICIDAD